Biological dentistry is experiencing a global surge. With growing demand for biocompatible, metal-free solutions, ceramic implants have taken center stage. At the heart of this movement stands the ICBI – International […]
Joint Venture Successful Once Again: With a Multifaceted Program and Renowned Speakers, Organizers Enthused Numerous Attendees About Ceramic Implants and Aesthetic Concepts in the Capital on May 9–10 The second […]
The German capital has always been a great venue for a meeting of ceramic implant users and the ISMI Annual Conference. For this reason, the ISMI (International Society of Metal […]
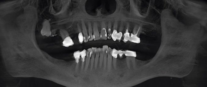
In issue 3-2023 of the magazine implants, Dr Johann Lechner & colleagues are featured with a technical article on the topic of “Immune sustainability on titanium implants?”: Bone-to-implant contact (BIC) […]
In issue 1-2022 of the magazine ceramic implants, Dr Johann Lechner is featured with a technical article on the topic of “Dental implants and bone marrow defects – Evaluation of […]
In issue 2-2021 of the magazine ceramic implants, Dr Johann Lechner is featured with a technical article on the topic of “Measuring bone density by intra-oral ultrasound for secure implant […]
WILLKOMMEN IN MAINZ! Liebe Mitglieder der DGFDT, liebe Tagungsteilnehmer zur DGFDT-Jahrestagung, in diesem Jahr möchten wir Sie zu unserer Jahrestagung mit dem Generalthema „Brennpunkt Okklusion“ im goldenen, spätherbstlichen Mainz am […]
Innovative Implantologie und Allgemeine Zahnheilkunde im vorweihnachtlichen Baden-Baden Interdisziplinär, aktuell und praxisnah: Beim diesjährigen Badischen Forum für Innovative Zahnmedizin erwartet die Teilnehmer unter der wissenschaftlichen Leitung von Dr. Georg Bach/Freiburg […]